Inside David's Head

Wanna really see what's inside my head? Well, try not to get too grossed out! I created the movies below from anatomical data collected from a magnetic resonance image (MRI) scan. Special thanks goes to Sarah Creem for letting me participate in her psychology study, and for letting me get my hands on some of the resulting data.

Each of the MPEG movies below has a pretty good frame rate. The animated gifs are worse quality, but can be viewed by most browsers.

Also see my eye surgery page for cool topological images of the surface of my eye.

Rotate
A simple rotation.
MPEG (.98 MB) Animated GIF (431 KB)

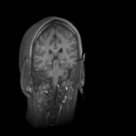
A couple notes about this and the other pictures: First, my ears aren't really that big -- what you see is the foam from the ear protection I wore. (The MRI machine is loud!) You can faintly see the LCD goggles I was looking at during the experiment. The "wood grain" look of my head is a result of combining the multiple layers of data that the MRI machine takes. Also, I haven't shaved my head -- hair doesn't show up on the MRI. :)
Right to Left
A right to left slice.
MPEG (.88 MB) Animated GIF (298 KB)

The brief darkening half way through is the corpus collosum, the area between the hemispheres of the brain that doesn't have any tissue.
Right to Left Slice
A thin right to left slice.
MPEG (.89 MB) Animated GIF (318 KB)

Top to Bottom
Top to bottom.
MPEG (.88 MB) Animated GIF (190 KB)

Watch the eyes and teeth. :)
Top to Bottom Slice
A thin top to bottom slice.
MPEG (1.06 MB) Animated GIF (191 KB)

Front to Back
Slices from front to back, while rotating.
MPEG (.88 MB) Animated GIF (383 KB)

Front to Back Slice
Thin slices from front to back, nose-on.
MPEG (1.15 MB) Animated GIF (314 KB)

Wedge
Wedge
MPEG (1.23 MB) Animated GIF (210 KB)

I think this is the most disturbing.
Cavity
Single cut, 3/5 of the way to the back, rotating.
MPEG (.87 MB) Animated GIF (438 KB)

Shows some suprisingly large cavities behind the ears.

How these movies were created

In case you were interested, here are the details on creating the movies:

  1. Get AFNI, Image Magick, and Berkeley mpeg_encode
  2. Get the raw data. (+orig.BRIK and +orig.HEAD) files.
  3. Run AFNI's 3daxialize on the data, creating a axialize+orig.BRIK and axialize+orig.HEAD files.
  4. Run AFNI's 3ddup on the axialize data to create dup+orig.BRIK and dup+orig.HEAD
  5. Start AFNI, select "Warp on Demand" and write the anatomical data to the disk.
  6. Select the Render Dataset plugin from the Define Datamode panel.
  7. Choose the dataset, and set the top of the histogram to something reasonable.
  8. Set up the automated rendering (see below), generate the images, and save them.
  9. Run my makempeg.pl script to brighten the image and create the movie using mpeg_encode.
  10. Use any good image processing program to convert the images to an animated gif. I wrote a script (makebmps.pl) to convert every fourth image into a bmp, which I then slurped into a Windows animated-GIF tool. Be sure to optimize the GIF, which will reduce the size by about two-thirds. (Settings: 4 colors, .15 seconds per frame, 1.5 seconds on last frame.)

The equations used to make the movies are below. Roll=35 Pitch=100 Yaw=0, frames=150 unless otherwise noted. X+, X-, Y+, Y-, Z+, Z- indicate the extremes of the images. You can get them from the main AFNI panel.

Rotate:
Roll: 360*t/N

Wedge:
Expr > 0: -10*x+8*(z-Z++t*(Z+-Z-)/N)
AND
Expr > 0: 10*x+8*(z-Z++t*(Z+-Z-)/N)

Top to bottom:
Superior: Z+-t*(Z+-Z-)/N
Roll: 0
Pitch: 130

Top to bottom slice:
Superior: Z+-t*(Z+-Z-)/N+4
OR
Inferior: Z+-t*(Z+-Z-)/N
Roll: 0
Pitch: 130

Right to left:
Right: X-+t*(X+-X-)/N

Right to left slice:
Left: X++t*(X+-X-)/N+4
OR
Right: X++t*(X+-X-)/N

Front to rear:
Anterior: Y-+t*(Y+-Y-)/N
Roll: 45-90 * t/N

Front to rear slice:
Anterior: Y-+t*(Y+-Y-)/N
OR
Posterior: Y-+t*(Y+-Y-)/N+4
Roll: 0

Cavity:
Anterior: Y-+3/5*(Y+-Y-)
Roll: 40-t*80/N

Back Back to David Coppit's Homepage.